房地产老板痛风五年,来郑州风湿病医院治疗后康复
导读: 王怀庆医生替段先生做了详细的检查,由于段如仁平时喜欢吃大鱼大肉,鲍参翅肚,体内尿酸浓度很高,通过X片显示,段先生的大脚趾关节形成多颗珍珠大的痛风石,情况不是很乐观。王怀庆医生建议进行“中医微创可视针刀镜技术”科学诊疗方案治疗。……
该患者朋友相关情况,本院已严格审核,属于真实
任何同行与机构未经本人同意,不得转载
再次感谢王怀庆医生与这位患者接受本次采访
===========================================================
患者信息:段先生,58岁,痛风5年,来自郑州市延庆区。
主治医生:王怀庆医生
患者病情:段先生是一个房地产开发商,生活富裕,每日大鱼大肉,应酬不断。2008年,脚部突发疼痛,到院检查为痛风并开始进行治疗,使用药物治疗两年,一直服用最贵的药物,平均每天要吃掉近千元,同时还使用多种辅助治疗,花掉近十万元。四年后,左脚大脚趾出现痛风石,药物治疗宣判无效。
段先生知道自己的痛风没有治好后,每日都很烦恼,烦起来就喜欢喝点酒,越喝越痛。最后没办法,还得看医生,段先生作为一名成功人士,对各个行业都很熟悉,经人建议来到我院,由我院风湿免疫科王怀庆医生亲自接诊。
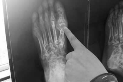
王怀庆医生替段先生做了详细的检查,由于段先生平时喜欢吃大鱼大肉,鲍参翅肚,体内尿酸浓度很高,通过X片显示,段先生的大脚趾关节形成多颗珍珠大的痛风石,情况不是很乐观。王怀庆医生建议进行“中医微创可视针刀镜技术”科学诊疗方案治疗。

(图:段先生的X光片显示,其左脚大拇指处痛风石较为严重)
第一个疗程结束,段先生自述:“感觉还真不错,我这脚感觉轻松多了,以前走路都觉得疼,手指也好多了。”段先生要求尽快做第二个疗程,尽快治好。
经过了三个疗程的治疗,段先生已基本告别了痛风,但是任何单一的治疗都存在复发风险,为了让痛风在日后不复发,王怀庆医生为段先生使用科学诊疗方案中的辅助治疗进行巩固。并告诫患者,以后饮食要规律健康,不可暴饮暴食,和正常人一样吃喝是没问题的。

(图:段先生在医院接受治疗,病情有所好转)
经过一段时间的恢复阶段,段先生再次来到王怀庆医生诊室,告诉王怀庆医生,自从上次的“中医微创可视针刀镜技术”科学方案治疗后,自己的痛风已经完全消失,没有过复发迹象,现在自己也很少喝酒了。
文章部分文字、图片、数据、视频等内容信息来源于互联网,版权归原作者所有,如有侵权请立即联系删除。






河南郑州痛风医院提醒痛风发作时可别乱用抗生
肩周炎可以用哪些方法治?王怀庆专家为您介绍
河南治疗风湿医院介绍风湿性关节炎的治疗药有
郑州类风湿医院简介类风湿性关节炎适宜运动吗
郑州痛风风湿病医院开启痛风发作、关节疼痛专场,享北京专家亲诊
1.27-1.28!北京三甲教授来郑州痛风风湿病医院亲诊,痛风风湿病
本周末北京大学人民医院专家在郑州痛风风湿病医院亲诊,领多项补